Composites estéticos para restaurar dientes con caries en zona estética

 La decisión de optar por este tratamiento radicó en la magnífica integración y mimetización que podían conseguir con el resto de piezas dentales.

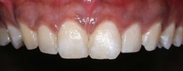
Antes del tratamiento

Llega a la clínica un paciente que presenta caries en la zona estética que se encuentra entre el incisivo central y el lateral. En estos casos, el tratamiento más adecuado es el uso de composites estéticos, que se utilizan principalmente para reconstrucciones estéticas del sector anterior. Tienen la finalidad de pasar desapercibidos y mimetizarse con la estructura del diente, manteniendo, en la medida de lo posible, todas sus propiedades estéticas y funcionales. Se trata de un tratamiento mínimamente invasivo con el que poder restaurar los dientes.

Después del tratamiento

Tras la aplicación de los composites estéticos, observamos cómo estos se mimetizan perfectamente tanto con el color, como con la textura de nuestros propios dientes, suponiendo para el paciente una solución ideal a un problema habitual actualmente y que hace que muchas personas no puedan ni quieren sonreír.

Proceso y cambio

Ven a conocernos y te realizamos un diagnóstico exclusivo gratis